立即注册 登录
应用思考-教育技术论坛 返回首页

黄雨晴的个人空间 http://www.etthink.com/?86233 [收藏] [复制] [RSS]

日志

小鼠肺组织切片制作与观察

已有 223 次阅读2024-3-7 15:19 | 小鼠切片

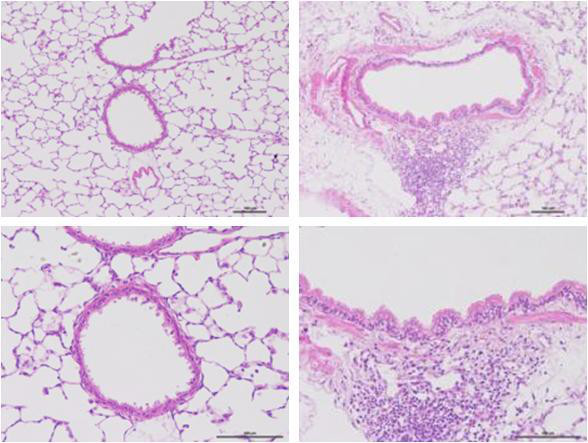
1、处死小鼠,取出肺组织放在固定液中固定。
2、将肺组织用胶水包埋,使用冷冻切片机切成9nm的薄片。
3、烘箱37度12小时。
4、染色,封片,观察。
5、小鼠肺组织切片图。


路过

雷人

握手

鲜花

鸡蛋

评论 (0 个评论)

facelist

您需要登录后才可以评论 登录 | 立即注册

QQ|手机版|应用思考-教育技术论坛 ( 皖ICP备10014945号-4 )

GMT+8, 2026-3-25 19:00

Powered by Discuz! X3.4

© 2001-2023 Discuz! Team.

返回顶部